Carillas Dentales
Diseñamos la sonrisa que siempre soñaste
Transforma color, forma y simetría de tus
dientes con mínima intervención.
¿Qué son las carillas dentales?
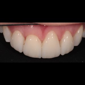
Las carillas dentales son laminados ultra delgados que se colocan en la parte frontal del diente para mejorar su apariencia.
Son una de las soluciones más rápidas y estéticas en odontología.
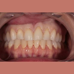
¿Qué pueden corregir las carillas?
Dientes manchados o pigmentados
Fracturas pequeñas
Dientes cortos o desiguales
Ligeros desalineamientos
Espacios entre dientes
Dientes con forma irregular
Tipos de carillas
Porcelana: Alta estética, durabilidad y resistencia.
Resina compuesta: Más económicas y rápidas de colocar.





Beneficios de tus carillas en One Smile
Sonrisa estética en poco tiempo
Mínima o nula reducción dental
Naturalidad y armonía
Resultados duraderos
Diseño digital de sonrisa (opcional)
Proceso del tratamiento
1.- Proceso del tratamiento
Analizamos tu sonrisa, expectativas y tipo de carilla indicada.
2.- Preparación mínima
En caso necesario, se realiza una micro-reducción del diente.
3.- Colocación
Se prueban color, tamaño y forma antes de cementarlas.
Doctores
Dr. Ricardo Pérez
Rehabilitador Oral
Más de 15 años de experiencia
Dra. Perla González
Odontopediatra
Niños felices
Contacto
Queremos conocerte y acompañarte en el proceso de mejorar tu salud bucal. Ponte en contacto con nosotros para agendar tu cita, solicitar información o resolver tus dudas. Nuestro equipo está listo para atenderte.